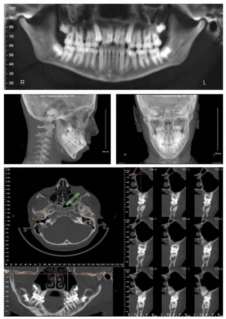
Müssen die Weisheitszähne immer entfernt werden?

Heutzutage haben nur wenige Menschen für alle Zähne ausreichend Platz im Mund. Vor allem nach einer erfolgreichen abgeschlossenen kieferorthopädischen Behandlung ist es schade, wenn die Stabilität des Ergebnisses gefährdet wird oder Beschwerden beim Weisheitszahndurchbruch auftreten.

Das bedeutet nicht unbedingt, dass die Weisheitszähne bei allen Patienten entfernt werden müssen – aber die Beobachtung ihrer Entwicklung und ihres Durchbruchs ist wichtig.

Der Kieferorthopäde kann feststellen, ob und wann die Entfernung der Weisheitszähne notwendig ist. Dazu muss eventuell während der Stabilisationsphase noch ein Panoramaröntgenbild angefertigt werden und die Entfernung der Zähne mit dem Hauszahnarzt oder Kieferchirurgen besprochen werden.

Es ist wichtig, regelmäßige Kontrollen auch nach Abschluss der kieferorthopädischen Behandlung durchzuführen, um rechtzeitig zu entscheiden, was mit den Weisheitszähnen langfristig geschehen soll.

Zurück

Copyright 2026 © Dr. med. dent. Ulrich Kritzler
Wir verwenden Cookies auf unserer Website, um Ihren Besuch effizienter zu machen und Ihnen mehr Benutzerfreundlichkeit bieten zu können. Weitere Infos
OK